Render Target: STATIC
Render Timestamp:
5/21/2026, 7:48:26 PM EDT
5/21/2026, 11:48:26 PM UTC
Commit: 7ed46ecc04b401f23a28df741b5078df405d23e4
XML generation date: 2025-11-12 16:17:26.858
Product last modified at: 2026-03-20T08:01:57.105Z
Cell Signaling Technology Logo - Extra Large
1% for the planet logo
PDP - Template Name: Monoclonal Antibody
PDP - Template ID: *******c5e4b77
Trial Size Available Flag
Recombinant Flag
Recombinant: Superior lot-to-lot consistency, continuous supply, and animal-free manufacturing.

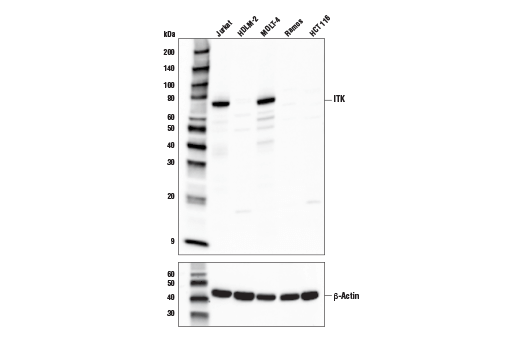
ITK (E4X7M) Rabbit Monoclonal Antibody #77215

Filter:
  • WB
  • IP
  • F

    Product Specifications

    REACTIVITY H
    SENSITIVITY Endogenous
    MW (kDa) 72
    Source/Isotype Rabbit IgG
    Application Key:
    • WB-Western Blotting 
    • IP-Immunoprecipitation 
    • F-Flow Cytometry 
    Species Cross-Reactivity Key:
    • H-Human 

    Product Information

    Product Usage Information

    Application Dilution
    Western Blotting 1:1000
    Immunoprecipitation 1:100
    Flow Cytometry (Fixed/Permeabilized) 1:50

    Storage

    Supplied in 10 mM sodium HEPES (pH 7.5), 150 mM NaCl, 100 µg/ml BSA, 50% glycerol and less than 0.02% sodium azide. Store at –20°C. Do not aliquot the antibody.

    For a carrier free (BSA and azide free) version of this product see product #24573.

    实验步骤

    Specificity / Sensitivity

    ITK (E4X7M) Rabbit Monoclonal Antibody recognizes endogenous levels of total ITK protein.

    Species Reactivity:

    Human

    Source / Purification

    Monoclonal antibody is produced by immunizing animals with a synthetic peptide corresponding to residues near the carboxy terminus of human ITK protein.

    Background

    Interleukin-2 inducible T cell kinase (Itk, Emt, or Tsk) is a member of the non-receptor protein tyrosine kinases. Family members of Itk include Tec, Btk, Rlk, and Bmx and are all defined by a common structure: an amino-terminal PH domain, a Tec-homology domain, and an SH3 and SH2 domain followed by a carboxy-terminal kinase domain (1). Tec, Rlk, and Itk are expressed in T cells and activated in response to T cell receptor (TCR) engagement. Data demonstrate that Itk functions in signal transduction downstream of TCR and activates PLCgamma1 and Erk. Lck directly activates Itk through phosphorylation in the conserved activation loop at Tyr511, and furthermore, Itk is autophosphorylated in the SH3 domain at Tyr180. Itk-Y180F is still capable of phosphorylating PLCgamma1 in contrast to Itk-Y511F, which has lost that function (2-3). Itk -/- mice show reduced lung inflammation, eosinophil infiltration, and mucous production in response to allergic asthma induction. Thus, Itk could become a desirable target for anti-asthmatic treatments (4).

    Alternate Names

    EMT; homolog of mouse T-cell itk/tsk; IL-2-inducible T-cell kinase; IL2 inducible T cell kinase; IL2-inducible T-cell kinase; Interleukin-2-inducible T-cell kinase; ITK; Kinase EMT; LPFS1; LYK; MGC126257; MGC126258; PSCTK2; T-cell-specific kinase; Tyrosine-protein kinase ITK/TSK; Tyrosine-protein kinase Lyk

    For Research Use Only. Not for Use in Diagnostic Procedures.
    Cell Signaling Technology is a trademark of Cell Signaling Technology, Inc.
    Alexa Fluor is a registered trademark of Life Technologies Corporation.
    All other trademarks are the property of their respective owners. Visit our Trademark Information page.